Facetas Dentárias

Estética Dentária

Facetas Dentárias

Estética Dentária

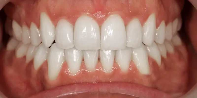
O que são Facetas Dentárias?

As facetas dentárias são capas finas de cerâmica colocadas na superfície dos dentes. Têm menos de um milímetro de espessura e corrigem pequenas imperfeições na forma, tamanho, volume e cor dos dentes.

Consulte os nossos profissionais!

Receba a melhor orientação personalizada

* CAMPOS DE PREENCHIMENTO OBRIGATÓRIO.

Este formulário de contacto corresponde ao procedimento normal de envio de um email diretamente para a nossa caixa de correio. Os seus dados não são armazenados nem utilizados para qualquer outro fim.

Ao enviar o pedido de consulta, aceita automaticamente os termos de política e privacidade, que deve consultar aqui.

O que são Facetas Dentárias?

As facetas dentárias são capas finas de cerâmica colocadas na superfície dos dentes. Têm menos de um milímetro de espessura e corrigem pequenas imperfeições na forma, tamanho, volume e cor dos dentes.

Consulte os nossos profissionais!

Receba a melhor orientação personalizada

* CAMPOS DE PREENCHIMENTO OBRIGATÓRIO.

Este formulário de contacto corresponde ao procedimento normal de envio de um email diretamente para a nossa caixa de correio. Os seus dados não são armazenados nem utilizados para qualquer outro fim.

Ao enviar o pedido de consulta, aceita automaticamente os termos de política e privacidade, que deve consultar aqui.

Como são aplicadas as Facetas Dentárias?Oral

1.
Realização de consulta para análise detalhada e criteriosa.
2.
Produção de moldes de diagnóstico e envio dos mesmos para o ceramista.
3.
Aplicação de facetas, em consulta, e partilha de recomendações.

A aplicação de facetas Dentárias é a solução mais adequada em situações de:

• Dentes manchados que não respondem a tratamentos de branqueamento;

• Dentes fraturados, lascados ou desgastados;

• Diastema (espaço entre dentes).

O sorriso perfeito existe e está ao seu alcance.

Fale com a nossa equipa de profissionais!

MARQUE JÁ
A SUA CONSULTA

MARQUE JÁ
A SUA CONSULTA

Quais as Vantagens das Facetas Dentárias?

De entre várias, destacamos as seguintes:

• O paciente consegue mudar o seu sorriso de forma rápida;
• Quando bem feito, o tratamento confere um resultado muito natural;
• As facetas não sofrem alterações de cor;
• Se bem mantidas, as facetas duram muito tempo.

Before image alt After image alt

Alguns Casos Clínicos de referência

Veja a clínica dentária mais
perto de si!

Águeda

Aveiro

Oliveira de Azeméis

Porto

Viseu

Perguntas Frequentes

O que esperar depois do tratamento?

Equilíbrio e naturalidade, adaptados às características de cada paciente.

Sim. Criamos a faceta da cor que pretende e, inclusivamente, da própria cor do dente.

Sim. Se os bons hábitos de higiene oral forem diários e as consultas frequentes, é possível manter as facetas saudáveis.

Pedido de consulta

* CAMPOS DE PREENCHIMENTO OBRIGATÓRIO

Este formulário de contacto corresponde ao procedimento normal de envio de um email directamente para a nossa caixa de correio.

Ao enviar o pedido de consulta, aceita automaticamente os termos de política e privacidade, que deve consultar aqui.

Subscreva a nossa Newsletter

* CAMPOS DE PREENCHIMENTO OBRIGATÓRIO

Este formulário de contacto corresponde ao procedimento normal de envio de um email directamente para a nossa caixa de correio.

Ao enviar o pedido de consulta, aceita automaticamente os termos de política e privacidade, que deve consultar aqui.

Aveiro
LICENÇA ERS – 11102/2015 | REGISTO ERS – E128770 | NIPC: 515 589 136

Águeda
LICENÇA ERS – 14858/2017 | REGISTO ERS – E138054 | NIPC: 515 589 136

Porto
LICENÇA ERS – 19811/2020 | REGISTO ERS – E150739 | NIPC: 515 589 136

Viseu
LICENÇA ERS – 20402/2021 | REGISTO ERS – E153569 | NIPC: 515 589 136

Oliveira de Azeméis
LICENÇA ERS – 23663/2023 | REGISTO ERS – E169041 | NIPC: 515 589 136

Termos e condições
Política de privacidade
Livro de reclamações
Aveiro LICENÇA ERS – 11102/2015 | REGISTO ERS – E128770 | NIPC: 515 589 136
Águeda LICENÇA ERS – 14858/2017 | REGISTO ERS – E138054 | NIPC: 515 589 136
Porto LICENÇA ERS – 19811/2020 | REGISTO ERS – E150739 | NIPC: 515 589 136
Viseu LICENÇA ERS – 20402/2021 | REGISTO ERS – E153569 | NIPC: 515 589 136
Oliveira de Azeméis LICENÇA ERS – 23663/2023 | REGISTO ERS – E169041 | NIPC: 515 589 136
CREATED BY INVISUAL