Ortodontia

Transforme o seu sorriso e
melhore o seu bem-estar

Ortodontia

Transforme o seu sorriso e
melhore o seu bem-estar

O que é a Ortodontia?

A Ortodontia é a especialidade da Medicina Dentária que visa diagnosticar, tratar e prevenir complicações decorrentes do incorreto alinhamento dos dentes ou dos maxilares.

 

Ao corrigir a posição dos dentes através do tratamento da oclusão dentária, melhora-se não só a aparência do sorriso, tornando-o esteticamente mais agradável, mas também a sua funcionalidade. Assim, o correto alinhamento dos dentes tem um impacto positivo significativo na qualidade de vida.

 

Dentes tortos ou que não encaixam corretamente dificultam a higiene oral, aumentando o risco de perda precoce de dentes devido a cáries e doença periodontal. Além disso, causam tensão nos músculos envolvidos no processo de mastigação, o que pode levar a dores de cabeça, pescoço, ombros e costas.

Consulte os nossos profissionais!

Receba a melhor orientação personalizada

* CAMPOS DE PREENCHIMENTO OBRIGATÓRIO.

Este formulário de contacto corresponde ao procedimento normal de envio de um email diretamente para a nossa caixa de correio. Os seus dados não são armazenados nem utilizados para qualquer outro fim.

Ao enviar o pedido de consulta, aceita automaticamente os termos de política e privacidade, que deve consultar aqui.

O que é a Ortodontia?

A Ortodontia é a especialidade da Medicina Dentária que visa diagnosticar, tratar e prevenir complicações decorrentes do incorreto alinhamento dos dentes ou dos maxilares. Ao corrigir a posição dos dentes através do tratamento da oclusão dentária, melhora-se não só a aparência do sorriso, tornando-o esteticamente mais agradável, mas também a sua funcionalidade. Assim, o correto alinhamento dos dentes tem um impacto positivo significativo na qualidade de vida. Dentes tortos ou que não encaixam corretamente dificultam a higiene oral, aumentando o risco de perda precoce de dentes devido a cáries e doença periodontal. Além disso, causam tensão nos músculos envolvidos no processo de mastigação, o que pode levar a dores de cabeça, pescoço, ombros e costas.

Consulte os nossos profissionais!

Receba a melhor orientação personalizada

* CAMPOS DE PREENCHIMENTO OBRIGATÓRIO.

Este formulário de contacto corresponde ao procedimento normal de envio de um email diretamente para a nossa caixa de correio. Os seus dados não são armazenados nem utilizados para qualquer outro fim.

Ao enviar o pedido de consulta, aceita automaticamente os termos de política e privacidade, que deve consultar aqui.

Qual a origem dos problemas ortodônticos?

Os problemas ortodônticos podem ter diversas origens sendo que, em muitos casos, resultam da interação entre posição genética e influências externas:

Fatores hereditários:

Incluem características transmitidas geneticamente, como o queixo proeminente ou dentes salientes;

Fatores ambientais:

Resultam de hábitos ou condições externas, como:
  • Chupar o dedo;
  • Respirar pela boca;
  • Perda prematura de dentes de leite.

Quando devo recorrer a um ortodontista?

Mordida aberta

A mordida aberta caracteriza-se pela ausência de contacto entre os dentes superiores e inferiores quando a boca está fechada.

Mordida cruzada

A mordida cruzada é um problema em que os dentes superiores se encaixam atrás dos dentes inferiores, em vez de se alinharem corretamente.

Sobremordida

A sobremordida, ou mordida profunda, ocorre quando os dentes superiores se sobrepõem excessivamente aos dentes inferiores, ocultando-os parcial ou totalmente ao morder.

Dentes projetados

Dentes projetados, dentes salientes ou protrusão dentária, referem-se a uma condição em que estes se estendem excessivamente para a frente, além da posição normal na arcada dentária.

Diastema

Diastema é o termo utilizado para descrever o espaço excessivo entre dois ou mais dentes, sendo mais comum entre os da frente no maxilar superior. Se a causa for desproporção dentária, tratamentos de estética dentária podem ser necessários após a ortodontia.

Bruxismo

O bruxismo é o hábito de ranger ou apertar os dentes de forma involuntária, geralmente durante o sono, podendo levar ao desgaste dos dentes e a dores na mandíbula. A correção ortodôntica é fundamental neste caso quando este se associa a má oclusão ou desalinhamento dentário.

Que tipo de aparelhos ortodônticos existem?

Seja aparelho fixo ou alinhador invisível, a escolha do tipo de aparelho dentário depende de cada caso específico, da idade do paciente, da complexidade do problema e das preferências pessoais (como estética e conforto). O ortodontista será o responsável por indicar a melhor opção para o tratamento.

Aparelho ortodôntico removível

O aparelho ortodôntico removível pode ser retirado da boca, ao contrário dos aparelhos fixos. É habitualmente usado para correções ortodônticas mais simples e em crianças e jovens em crescimento.

Aparelho ortodôntico fixo

O aparelho ortodôntico fixo é o tipo mais conhecido de aparelho dentário, utilizado para corrigir o alinhamento dos dentes e problemas de mordida complexos. Neste tratamento, recorre-se a acessórios como bandas e brackets, colados diretamente aos dentes, para aplicar forças controladas e garantir a movimentação dentária precisa.

Alinhador invisível

Também conhecido como aparelho transparente, o aparelho invisível é uma solução inovadora, feita de um material transparente e flexível, que se adapta aos dentes como uma espécie de molde. Ao longo do tratamento, o paciente usa uma série de alinhadores invisíveis, trocando-os progressivamente, para mover os dentes para a posição correta. São a alternativa estética e confortável aos aparelhos fixos tradicionais.

Existem diversas opções de tratamento, no entanto, antes de avançar para a escolha certa, o ortodontista faz um estudo de cada caso

O sorriso perfeito existe e está ao seu alcance.

Fale com a nossa equipa de profissionais!

MARQUE JÁ
A SUA CONSULTA

MARQUE JÁ
A SUA CONSULTA

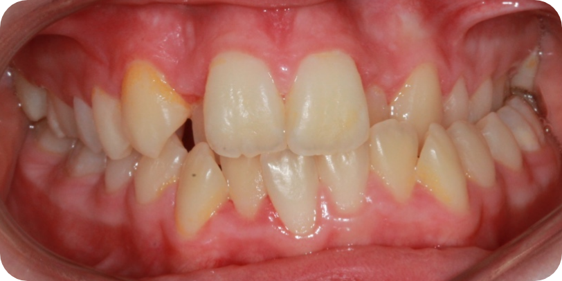
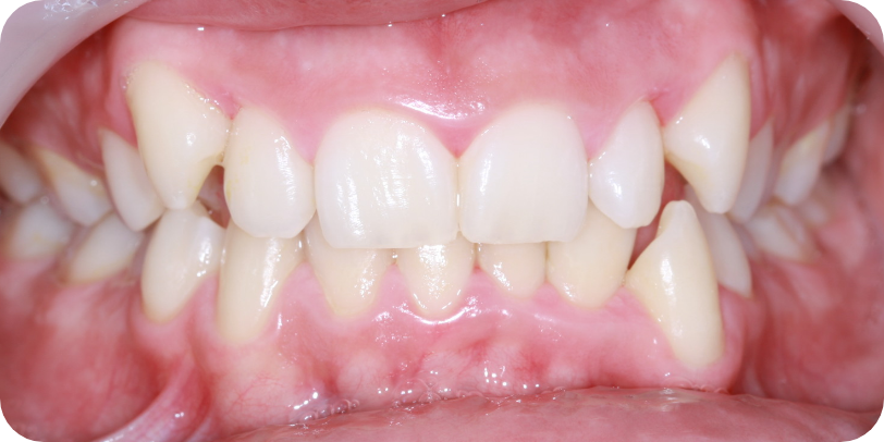
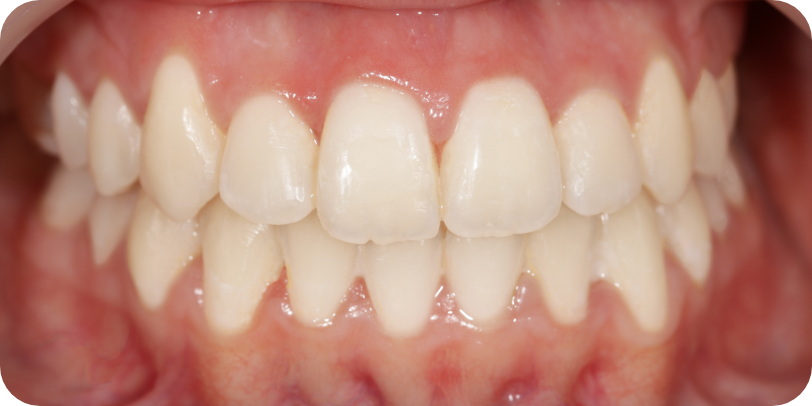
Before image alt After image alt

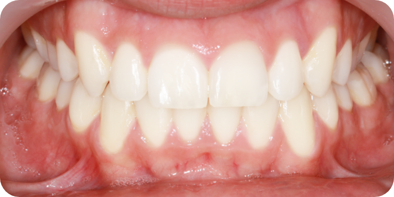
Alguns Casos Clínicos de referência

Transforme o seu sorriso

Before image alt After image alt

Veja a clínica dentária mais
perto de si!

Águeda

Aveiro

Oliveira de Azeméis

Porto

Viseu

Perguntas Frequentes

Quando deve ser marcada a primeira consulta de ortodontia?

A primeira consulta de ortodontia deve ser marcada, idealmente, entre os 5 e 6 anos de idade. Nessa fase, os dentes permanentes estão a começar a nascer, sendo mais fácil ao ortodontista identificar problemas que podem ser corrigidos com mais facilidade. Embora não seja necessário um tratamento imediato, a avaliação precoce ajuda a planear a melhor abordagem ao longo do desenvolvimento dentário.

Para adultos, a consulta pode ser marcada sempre que surgirem problemas com o alinhamento dos dentes ou da mordida, ou até mesmo se a pessoa quiser melhorar a estética do seu sorriso.

Nesta consulta, será realizado um estudo ortodôntico que permitirá avaliar a necessidade de recorrer a um aparelho ortodôntico e qual o mais adequado a cada situação.

Não. A ortodontia também pode corrigir problemas de mordida (como sobremordida, mordida cruzada ou mordida aberta), desalinhamento dos maxilares, desgaste dentário, dificuldade ao mastigar ou falar, e até problemas respiratórios durante o sono.

A duração do tratamento com aparelho dentário varia por existirem múltiplos fatores que fazem com que cada caso seja único. Após o tratamento ortodôntico ativo, é necessário usar um aparelho de retenção por algum tempo para garantir que os dentes permaneçam na nova posição.

O uso de aparelho dentário pode causar desconforto, especialmente após ajustes ou a colocação inicial do aparelho. Porém, a dor geralmente é leve e desaparece em poucos dias. Analgésicos podem ser usados para aliviar a dor, se necessário.

Apesar de os aparelhos dentários serem cada vez mais confortáveis, continuam a ser estruturas estranhas na boca, sendo necessário passar por um período de adaptação, em especial da língua e dos lábios. É normal também que a dicção se altere um pouco.

Além disso, poderá notar uma maior sensibilidade dentária ao toque e mastigação. Esta adaptação tende a concluir-se em poucos dias ou semanas.

Durante o uso de aparelho ortodôntico, é fundamental seguir a recomendação do ortodontista. Deverá também manter uma higiene oral rigorosa e seguir alguns cuidados específicos para garantir a eficácia do tratamento e evitar complicações.

  • Escovar os dentes após cada refeição, utilizando uma escova de dentes ortodôntica ou uma escova com cerdas macias;
  • Prestar especial atenção à limpeza entre os brackets e o fio ortodôntico, onde os restos de alimentos se acumulam facilmente;
  • Utilizar fio dentário diariamente, para limpar entre os dentes e sob o fio ortodôntico;
  • Usar escovilhões interdentários para limpar entre os brackets e em zonas onde a escova e o fio dentário não chegam;
  • Manter uma alimentação equilibrada e evitar alimentos duros e pegajosos, assim como bebidas açucaradas e ácidas;
  • Comparecer a todas as consultas de manutenção com o ortodontista para ajustes e verificações do aparelho.



Seguir estas recomendações ajudará a garantir um tratamento ortodôntico eficaz e a manter a sua saúde oral em ótimas condições.

Pedido de consulta

* CAMPOS DE PREENCHIMENTO OBRIGATÓRIO

Este formulário de contacto corresponde ao procedimento normal de envio de um email directamente para a nossa caixa de correio.

Ao enviar o pedido de consulta, aceita automaticamente os termos de política e privacidade, que deve consultar aqui.

Subscreva a nossa Newsletter

* CAMPOS DE PREENCHIMENTO OBRIGATÓRIO

Este formulário de contacto corresponde ao procedimento normal de envio de um email directamente para a nossa caixa de correio.

Ao enviar o pedido de consulta, aceita automaticamente os termos de política e privacidade, que deve consultar aqui.

Aveiro
LICENÇA ERS – 11102/2015 | REGISTO ERS – E128770 | NIPC: 515 589 136

Águeda
LICENÇA ERS – 14858/2017 | REGISTO ERS – E138054 | NIPC: 515 589 136

Porto
LICENÇA ERS – 19811/2020 | REGISTO ERS – E150739 | NIPC: 515 589 136

Viseu
LICENÇA ERS – 20402/2021 | REGISTO ERS – E153569 | NIPC: 515 589 136

Oliveira de Azeméis
LICENÇA ERS – 23663/2023 | REGISTO ERS – E169041 | NIPC: 515 589 136

Termos e condições
Política de privacidade
Livro de reclamações
Aveiro LICENÇA ERS – 11102/2015 | REGISTO ERS – E128770 | NIPC: 515 589 136
Águeda LICENÇA ERS – 14858/2017 | REGISTO ERS – E138054 | NIPC: 515 589 136
Porto LICENÇA ERS – 19811/2020 | REGISTO ERS – E150739 | NIPC: 515 589 136
Viseu LICENÇA ERS – 20402/2021 | REGISTO ERS – E153569 | NIPC: 515 589 136
Oliveira de Azeméis LICENÇA ERS – 23663/2023 | REGISTO ERS – E169041 | NIPC: 515 589 136
CREATED BY INVISUAL